Pluteus phaeocyanopus  Minnis & Sundberg (2010)                               *Collections: Calfiornia


Collection: Berkeley, California 2008/02/10


Spores: 6.3-8.2x6-7µ

Pleurocystidia: >80µ long

Cheilocystidia, forming a sterile band, similar in shape to the pleuro cystidia, but smaller.

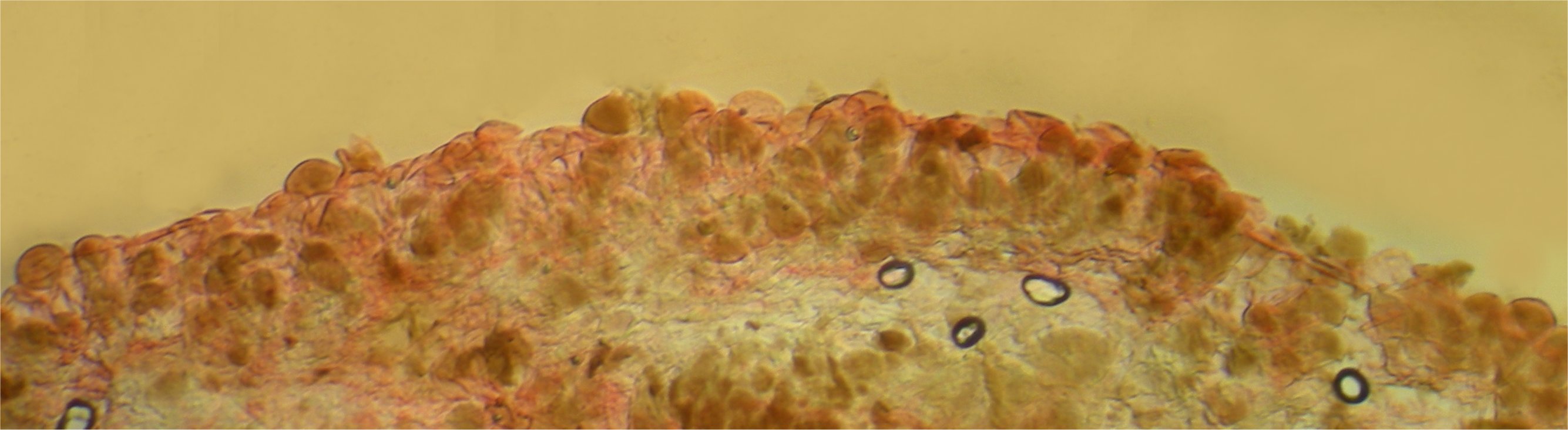
Pileipellis: loose hymeniform with brown inter-cellular pigmentation. .